简单介绍几句话简单介绍几句话
项目内容
一、 硬组织分切/脱钙/软化
1. 硬组织分切
不含金属硬组织分切、含金属硬组织分切、含氧化锆植物体分切
兔,狗,羊,猴等大动物骨,牙齿等组织;粗树枝,粗大中药材,大的板材等厚度超过1cm的样本在脱钙软化或脱水浸塑包埋前,均需用专门的设备进行分切成3mm左右的薄片后再进行后续操作,可以提高后期制片的成功率,特别是大组织脱钙样本,能减少脱钙时间和脱钙的成功率;使用EXAKT金刚石切骨机 将样本进行分切,得到一个厚度在3mm左右的组织薄片。

2. 脱钙
骨组织脱钙(慢脱)
骨组织是坚硬的结缔组织,由细胞、纤维、基质组成。骨的最大特点是细胞基质含有大量沉积性钙盐,以构成身体的骨骼系统。由于骨组织质地坚硬,必须要进行脱钙,才能进行常规病理石蜡制片。本项目采用经典的EDTA螯合剂对骨组织进行脱钙,对抗原破坏程度小,脱钙周期因骨组织大小不同。

3. 软化
植物标本软化(普通根茎)、植物标本软化(种子、硬枝)
成熟的种子和干枯的茎秆,木质化程度很高,常规石蜡切片无法完成。需采用化学试剂破坏木质部,降低标本硬度,达到可以制作石蜡切片的目的。本项目针对木质化程度高的普通植物根、茎等组织,利用乙二胺对植物进行软化。化学试剂软化会破坏木质素,影响后续番红固绿、间苯三酚染色等。如果要观察木质部结构,推荐本公司的植物硬组织包埋切片服务。

二、 标本包埋
指用包埋剂支撑标本的过程。
1. 组织石蜡包埋
2. 细胞石蜡包埋
3. 琼脂包埋
4. 瑞士卷肠包埋
5. 斑马鱼包埋
6. OCT包埋
7. 大组织大蜡块包埋
8. 组织芯片定位
9. 组织芯片蜡块制作
10. 细胞芯片蜡块制作
11. 职务硬组织包埋
12. 未脱钙骨硬组织包埋
13. 硬组织数值包埋
14. 硬组织数值包埋(大组织)




三、 切片
切片是玻片标本的一种,供光学显微镜或电子显微镜观察的动植物组织薄片。因要求不同,可用刀片进行徒手切片,也可将组织块包埋于石蜡或火棉胶中或以低温冰冻,用切片机切片。切成5~10微米薄片,供光学显微镜观察。用环氧树脂或甲基丙烯酸包埋组织块切制的超薄切片,其厚度在20~50纳米,专供在电子显微镜下观察。一般教学用的如根尖、茎的切片通称石蜡切片。
1. 石蜡切片
2. 组织芯片切片
3. 石蜡封片
4. 大组织石蜡切片
5. 特殊位置切片
6. 眼球切片
7. 冰冻切片
8. 震动切片
9. 植物硬组织切片
10. 未脱钙骨硬组织切片
11. 不含金属硬组织分切
12. 含金属硬组织分切
13. 含氧化锆植体分切
14. 含金属硬组织切磨片
15. 含氧化锆植体切磨片


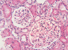
四、 HE染色
苏木精-伊红染色法 ( hematoxylin-eosin staining ) ,简称HE染色法 ,石蜡切片技术里常用的染色法之一 。苏木精染液为碱性 ,主要使细胞核内的染色质与胞质内的核糖体着紫蓝色 ;伊红为酸性染料 ,主要使细胞质和细胞外基质中的成分着红色 。HE染色法是组织学、胚胎学、病理学教学与科研中最基本、使用最广泛的技术方法。


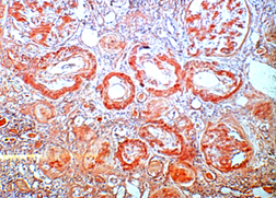
五、 特殊染色
PAS染色、天狼猩红染色、甲苯胺蓝染色、六胺银染色、PAS+萘酚黄S染色、凯氏带染色、VG染色、EVG染色、网状纤维染色、纤维素MSB染色、刚果红染色等。


扫一扫关注微信