简单介绍几句话简单介绍几句话
透射电镜
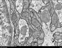
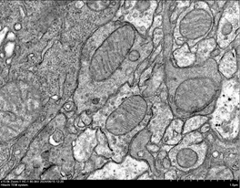
透射电镜(TEM)通过对组织细胞样本进行树脂包埋切片,60-80nm厚度的超薄切片,经过重金属铅、铀染色后于透射电子显微镜中进行几千至几万倍的放大成像,从而能够清楚的观察到在普通光学显微镜下无法看清的动植物细胞内的超微结构,比如线粒体、内质网、高尔基体、溶酶体、自噬小体、凋亡小体、叶绿体、液泡、细胞内细菌或病毒侵染等结构及病理变化。透射电镜超薄切片除了能够显示细胞内的超微结构之外,还可用于观察病原微生物,如各类细菌真菌等。目前已经广泛应用于细胞生物学、组织学、病毒学、病理学、分子生物学、材料科学等诸多研究领域,是观察和研究物质超微结构的强有力工具。
1. 数值包埋
2. 半薄切片
3. 超薄切片
4. 负染
5. 半薄切片甲苯胺蓝染色
6. 透射电镜拍照
7. 骨组织透射电镜全套(分切+脱钙+包埋+制片+拍照)
8. 免疫电镜包埋切片标记拍照


扫描电镜/能谱
扫描电子显微镜(SEM)是用于微观研究固体物质表面形貌结构表征的仪器,利用样品表面材料的物质性能进行微观成像,从而获取物质微观形貌的信息。扫描电镜具有较高的放大倍数,视野大,成像富有立体感,可以清楚的观察到各种样本凹凸不平表面的细微结构或者内部某个截面的微观形貌特征。常用于观察细胞表面、植物木质部、叶面、动物毛纤维、虫类、生物医学材料、晶体材料、细菌、真菌等。
1. 固定样本SEM拍照(脱水干燥喷金拍照)
2. 骨组织扫描电镜全套(分切+制片+拍照)
3. 能谱扫描(点扫、线扫、面扫)


扫一扫关注微信